アポクル予約

※手術の写真を掲載しておりますので、
苦手な方はご注意ください。

腹腔鏡補助下膀胱結石除去を実施した犬の一例
●腹腔鏡手術とは?
1~2cm程度の穴(ポート)を2~3箇所開け、内視鏡カメラ、鉗子、電気メス等を挿入し、腹腔内で行う手術です。

メリットとしては、
・痛みが少なく、術後の回復が早い
・基本的に日帰りできる
・出血や腹腔内臓器を目視で観察できる
・術後の臓器癒着のリスクが低い
            などがあげられます。

デメリットとしては、
・炭酸ガスを腹腔内に注入するため、心臓や肺が圧迫され、心疾患や肺疾患がある子にとってはリスクがある
・開腹手術に比べ手術費用が高価
・止血が上手くいかない場合、開腹手術に変更になる場合がある
                       などがあげられます。

腹腔鏡手術の適応となるものとしては、
・避妊手術
・腹腔内陰睾
・胆嚢摘出(胆嚢破裂などは不可)
・肝臓生検
・膀胱結石除去
     などがあげられます。

●症例
MIX  9歳 男の子
膀胱結石の手術経験があり、排尿の異常などはありませんでしたが、定期検査のレントゲン検査、エコー検査にて、膀胱内に多数の結石が認められました。
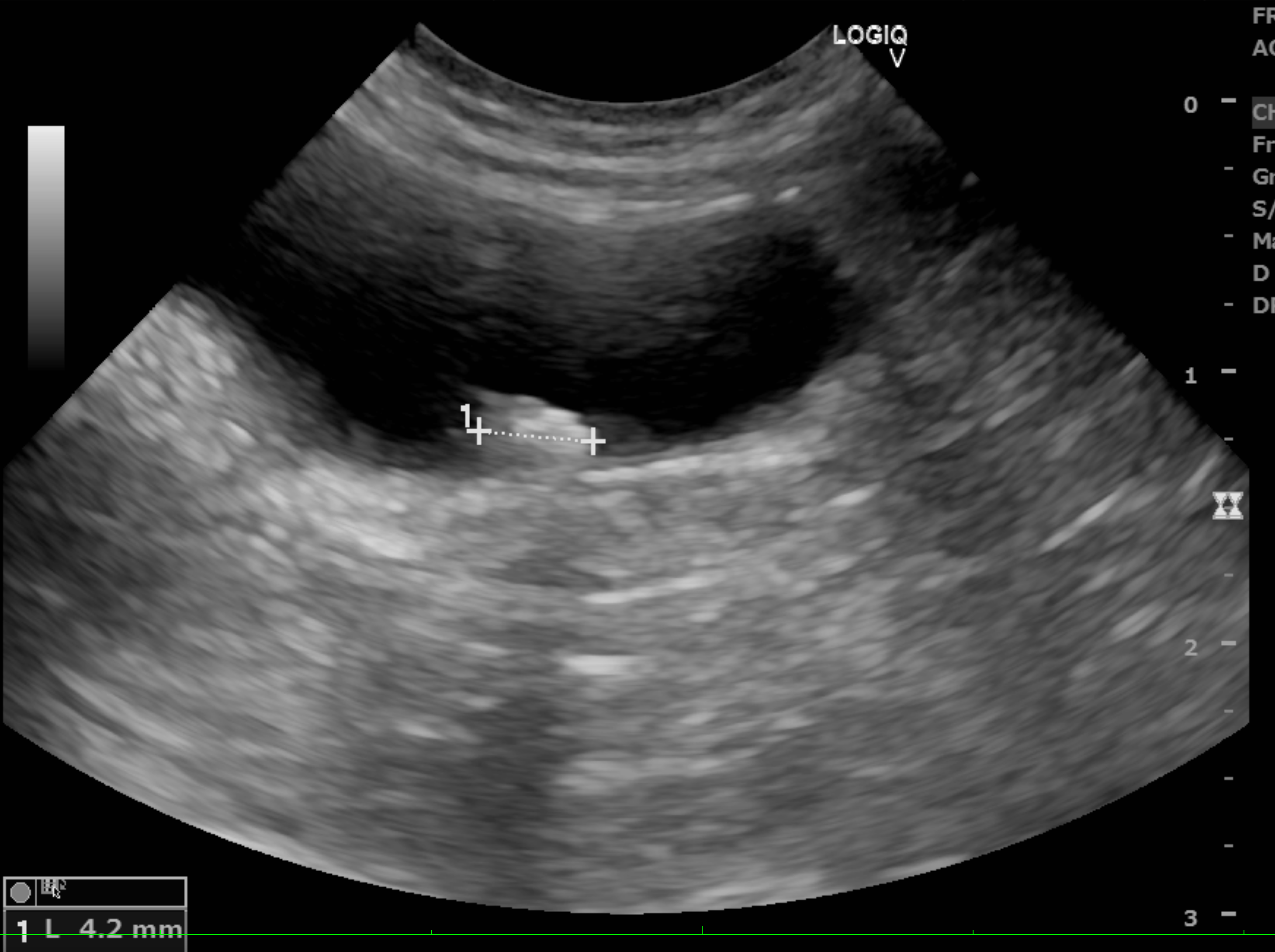
<膀胱のエコー画像>
膀胱内に結石が認められる
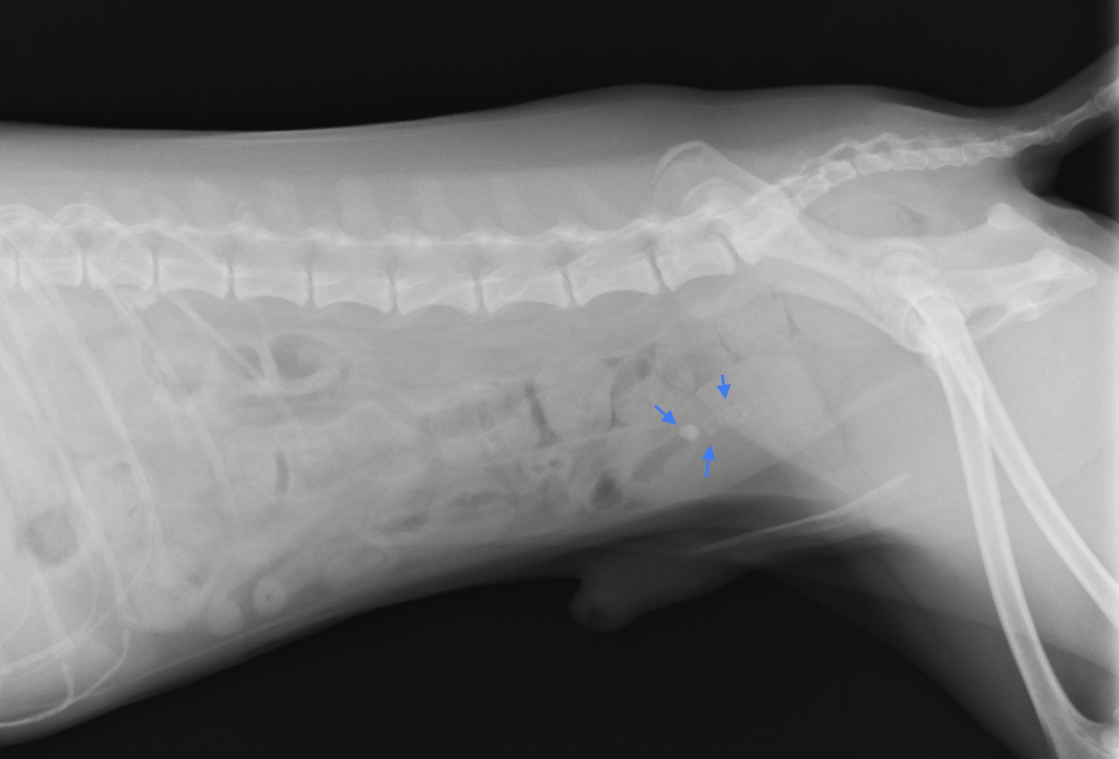
<腹部のレントゲン画像>
矢印で示しているのが膀胱内の結石
結石を検査したところシュウ酸カルシウム※という内科での治療が難しいものであったため、手術を行うこととしました。
結石が小さかったため、腹腔鏡下での膀胱結石除去を実施しました。結石が大きい場合は、結石を腹腔鏡のポートから取り出すことができないので、適応にならないことがあります。
 ※詳しくは、以前にアップした「尿石症」をご参照ください

<腹腔鏡の内視鏡カメラ画像>
膀胱内に多数の小さな結石が認められる
結石を鉗子で摘んで除去していく
結石除去後の膀胱内
中央に見える穴は尿道
腹腔鏡での膀胱結石除去を行う利点は、術後の膀胱炎や血尿を起こりにくくさせ、細かい結石まで残らず除去できる点にあります。
今回の症例においても術後の血尿や膀胱炎による排尿障害は、認められず良好な経過を辿っています。

手術の際、できるだけワンちゃんネコちゃんの負担を減らしてあげたい、入院させるのは不安と考えられる飼い主様は多くいらっしゃると思います。
そういった悩みを減らす、選択肢として腹腔鏡手術という手術方法について知って頂けたらと思います。
わからないこと、ご不安なことなどありましたら、お気軽にご相談ください。


執筆担当:獣医師 大場