アポクル予約

※手術の写真を掲載しておりますので、
苦手な方はご注意ください。

犬の唾液腺嚢胞
●概要
唾液腺嚢胞は唾液を産生する組織(耳下腺、下顎腺、舌下腺)や唾液を輸送する管に破綻が生じ、唾液が皮下などにたまって唾液瘤(コブ状のもの)を形成する疾患です。犬にも猫にもまれに起こります。舌下に溜まってしまう場合には、ガマガエルののど袋のような外観になることからガマ腫と呼ばれます。また、下顎から首回りに唾液瘤ができるものは唾液腺嚢胞と呼ばれ、同じような原因で起こります。外傷などによるものや唾石が管に詰まってしまう場合もありますが、原因が特定できないこともあります。一部の犬種では遺伝的な影響も考えられます。
リードなどにより頸に無理な力がかからないよう努めることや、口腔内を刺激するおもちゃや歯磨きなどにより唾液腺の導管を傷つけないように注意することが肝要です。片側性に起こった場合もう片方に症状が起こることにも注意が必要です。
●症状、診断
喉元や首周りにコブ状の腫れが生じる
波動感のある(ブヨブヨとして液体のような)無痛性の腫瘤である
針吸引すると白血球を少量含んだ粘稠性唾液が採集される
炎症の存在や大きさにより臨床症状が起こる(痛み、嚥下困難、呼吸への影響など)
他の組織(リンパ節など)の炎症や腫瘍との鑑別が必要(レントゲン、CT検査など)
●治療
導管の破綻部位を特定することは通常困難で、漏出を起こしている部位の唾液腺を外科的に摘出することで治療します。同時に付随する導管も出来る限り分離し摘出します。
定期的に針を刺して唾液を抜くというような対処で治療することは通常難しく、再発してしまいます。
手術による合併症は比較的少なく、適切に原因が除去されれば予後は良好です。

●症例
8歳トイプードル去勢雄、体重3.0kg。3日前からのどの部分が腫れているとの主訴で受診されました。
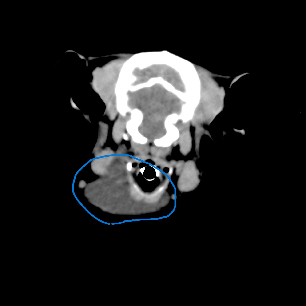
直径5㎝ほどの波動感のある腫瘤があり、痛みや他の症状はありませんでした。レントゲン検査では頭頸部の骨組織や頸部腫瘤周囲の軟部組織に異常は見られませんでした。針吸引を試みたところ半透明の粘稠性の唾液が採集されました。
また、腫瘍などの鑑別診断と外科手術の検討のためCT検査を行いました。結果は腫瘍や唾石は認められませんでした。
特発性の唾液瘤として下顎腺、舌下腺と共に外科摘出を実施しました。
病理検査の結果では唾液腺は良好に摘出され、導管に拡張が見られる以外に炎症や腫瘍性変化などは見られなかったとのことでした。術後も良好に経過しています。
丸で囲んだ部分が唾液瘤
摘出した唾液腺

文責 獣医師 喜多見 賢二
プラチナ通りにある動物医療センター白金台トップページ

港区白金台4-10-11
TEL03-5739-0535